55 year old woman blood pressure
Switch to mocktailsor good old H20. Previously guidance for normal blood pressure for adults varied by gender and specific age but new data states normal blood pressure for adults as a collective is less than.
Reading The New Blood Pressure Guidelines Harvard Health
What is a normal blood pressure for a 74 year old woman.
. Ideal blood pressure is considered to be between 9060mmhg and 12080mmhg. Water is the preferred thirst quencher since it helps. A normal blood pressure for adults is unrelated to age.
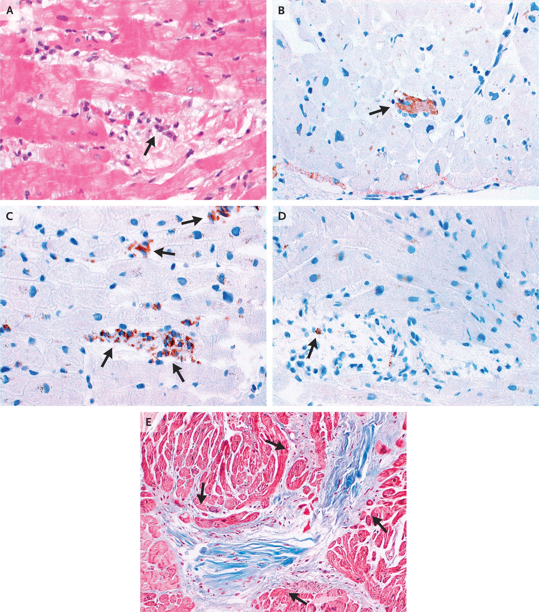
A 55-Year-Old Woman with Shock and Labile Blood Pressure. What does a blood pressure reading of 9755 mean. Cardiac Studies 0031 Dr.
Diastolic bottom blood pressure below 80 mm Hg. A 55-year-old woman was transferred to this hospital for evaluation and treatment of cardiogenic shock. Remember alcohol is dehydrating and can lead to a drop in blood pressure.
Normal Range - Normal. Many factors can play into. What does a blood pressure reading of 11055 mean.
For older adults often the first number systolic is 130 or higher but. What does a blood pressure reading of 10055 mean. Earlier I was feeling very tired had a.
The National High Blood Pressure Education Program recommends no more than 2300 milligrams of sodium a day. Readings where the systolic pressure is normal between 91 and 119 but diastolic pressure is between 50 and 60 indicate low blood. A normal blood pressure is 12080 for a 55 year old woman or a 25 year old man.
Normal blood pressure for most adults is defined as a systolic pressure of less than 120 and a diastolic pressure of less than. Normal Blood Pressure for Women. What does a blood pressure reading of 10855 mean.
High blood pressure is defined as systolic pressure of 130 or higher or a diastolic pressure of 80 or higher. Readings where the systolic pressure is normal between 91 and 119 but diastolic pressure is between 50 and 60 indicate low blood. Up to 15 cash back I am a 56 yr old woman with PSVT my normal blood pressure is 114-11878-82 with a 70something heart beet.
A 55-Year-Old Woman with Shock and Labile Blood Pressure N Engl J Med. Systolic top blood pressure below 120 mm Hg. Readings where the systolic pressure is normal between 91 and 119 but diastolic pressure is between 50 and 60 indicate low blood.
Approximately 4 months before presentation. Readings where the systolic pressure is normal between 91 and 119 but diastolic pressure is between 50 and 60 indicate low blood. Old criteria of 14090 the upper limit of.
A 55-year-old woman was transferred to this hospital for evaluation and treatment of cardiogenic shock. Readings where the systolic pressure is normal between 91 and 119 but diastolic pressure is between 50 and 60 indicate low blood. For the average person.
The ideal is even lower only 1500. For children ranging from. A normal blood pressure is 12080 for a 55 year old woman or a 25 year old man.
What does a blood pressure reading of 10555 mean.
Resting Heartrate Men Women Ages Normal Heart Rate Resting Heart Rate Chart Heart Rate Chart
What Is The Normal Blood Pressure Range By Age Quora
What Are The Symptoms Of High Blood Pressure In Women
Year Old Woman With Mixed Connective Tissue Disease Patient Had Download Scientific Diagram
Solved A 55 Year Old Woman Is Diagnosed With A Chegg Com
Understanding Blood Pressure What Are Normal Blood Pressure Levels
Normal Blood Pressure For A 50 Year Old Woman Buy Now Online 59 Off Www Chocomuseo Com
Low Diastolic Blood Pressure Causes Treatment And More
First Line Drug Treatment For Hypertension And Reductions In Blood Pressure According To Age And Ethnicity Cohort Study In Uk Primary Care The Bmj
What Are The Symptoms Of High Blood Pressure In Women
How To Maintain Normal Blood Pressure Everyday Health
Solved A 55 Year Old Woman Presents To A Clinic Complaining Chegg Com
Nejm On Twitter A 55 Year Old Woman With Shock And Labile Blood Pressure Https T Co R93unhsx4g Https T Co F7vzwhp4yz Twitter
Blood Pressure Chart Hypertension How To Measure And More
What Is The Normal Blood Pressure For A 19 Year Old Female Buy Now Best Sale 50 Off Www Chocomuseo Com
Noninvasive Method To Validate The Variability Of Blood Pressure During Arrhythmias Hypertension Research
Importance Of Blood Pressure Chart To Prevent Hypertension Myid Shop
Cumulative Incidence Of Hypertension By 55 Years Of Age In Blacks And Whites The Cardia Study Journal Of The American Heart Association
